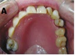
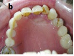
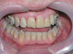
Partials: Acrylic -- Cast -- Flexible

- Used when the remaining teeth are of poor health. Teeth can be easily added in the event of future tooth lost.
- More prone to breakage, especially a lower.
-The wire clasp tend to have a detrimental effect of the tooth they engage. I offer these more for a temporary solution. <--Click to go Back
Below are a few examples of acrylic partial dentures






